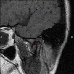
A closed lock occurs when the cartilage disc in your jaw joint is displaced

and will not pop back in place as you attempt to open. This limited opening is usually in the range of two finger widths between the anterior teeth. To the right is an MRI of a patient with a displaced disc that would not return to normal position upon opening, thus preventing the patient from opening fully. The MRI is labeled with an A next to the disc and a B in the position were the disc belongs.

If the disc is not repositioned into it's proper position within a reasonable amount of time, it can change shape making it impossible to ever return to it's normal position.